Ericoid Mycorrhizas: Colonization

Introduction | Table of Contents | Glossary | Help 

Hosts | Fungi | Colonization | Main Menu 

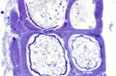
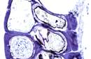
The surface of hair root tips is surrounded by mucilage in which hyphae of ericoid mycorrhizal fungi may proliferate before colonizing epidermal cells. Hyphae contact the surface of hair roots and then penetrate the thick epidermal cell wall before colonizing epidermal cells. The extent of development of surface hyphae on hair roots is variable, but in some cases a mantle-like structure forms. Colonization is always restricted to epidermal cells and involves the coiling and branching of a fungal hypha to form a hyphal complex within each cell. Not all epidermal cells of a root become colonized, but in many field collections, colonization levels can be very high. The thickened epidermal cell wall is multi-layered and may function either as a source of nutrients for the enclosed fungus or perhaps to protect the hyphal complex during periods of drought. Sloughed thick-walled epidermal cells containing hyphal complexes may act as propagules for the fungus.


"Hair" roots and External Hyphae

Hair root Diagram

Hair root Diagram

Ledum groenlandicum

Ledum groenlandicum

Gaultheria shallon

Gaultheria shallon

Vaccinium oxycoccos

Vaccinium oxycoccos

Vaccinium oxycoccos

Vaccinium oxycoccos

Gaultheria procumbens

Gaultheria procumbens

-

-

-

-

Internal Hyphae: Light Microscopy

Hair root Diagram

Hair root Diagram

Hair root Diagram

Hair root Diagram

Ledum groenlandicum

Ledum groenlandicum

Ledum groenlandicum

Ledum groenlandicum

Ledum groenlandicum

Ledum groenlandicum

Ledum groenlandicum

Ledum groenlandicum

Ledum groenlandicum

Ledum groenlandicum

Ledum groenlandicum

Ledum groenlandicum

Ledum groenlandicum

Ledum groenlandicum

Vaccinium oxycoccos

Vaccinium oxycoccos

Kalmia angustifolia

Kalmia angustifolia

Gaultheria procumbens

Gaultheria procumbens

Gaultheria procumbens

Gaultheria procumbens

Gaultheria procumbens

Gaultheria procumbens

Vaccinium oxycoccos

Vaccinium oxycoccos

Kalmia angustifolia

Kalmia angustifolia

-

-

-

-

Confocal

Gaultheria procumbens

Gaultheria procumbens

Gaultheria procumbens

Gaultheria procumbens

Ledum groenlandicum

Ledum groenlandicum

Ledum groenlandicum

Ledum groenlandicum

Ledum groenlandicum

Ledum groenlandicum

Vaccinium oxycoccos

Vaccinium oxycoccos

Vaccinium oxycoccos

Vaccinium oxycoccos

Vaccinium oxycoccos

Vaccinium oxycoccos

Vaccinium oxycoccos

Vaccinium oxycoccos

-

Click on a thumbnail to view a larger image

Previous  |   Next   

Return to Top