Orchid Mycorrhizas: Protocorm Development

Introduction | Table of Contents | Glossary | Help 

Hosts | Fungi | Protocorm Development | Root–Fungal Associations | Main Menu 

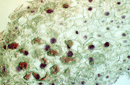
All orchid species form numerous minute seeds per capsule which, because of their small size, are referred to as "dust seeds". Each seed contains a minute undifferentiated embryo lacking a root and shoot apical meristem. In addition, the embryo cells store lipids and proteins since endosperm is not present. These unique structural characteristics require that seeds must first become colonized by an appropriate fungal species; in turn, the fungus provides necessary carbohydrates for the further development of the embryo into a structure called a protocorm. The protocorm is composed of parenchyma cells, some of which eventually initiate a shoot apical meristem. The first adventitious root primordium is initiated after the first leaf primordium forms from the shoot apical meristem. Since the protocorm and the seedling that develops from it often remain below ground for more than one growing season, this phase of the life cycle is myco-heterotrophic.

Dispersing Seeds

Dispersing Seeds

Spiranthes sinensis

Spiranthes sinensis

Listera australis

Listera australis

Platanthera

Platanthera

Platanthera

Platanthera

Seed & embryo

Seed & embryo

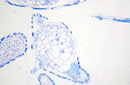
Protocorm

Protocorm

Protocorm

Protocorm

Protocorm

Protocorm

Spiranthes sinensis

Spiranthes sinensis

Spiranthes sinensis

Spiranthes sinensis

Goodyera repens

Goodyera repens

Goodyera repens

Goodyera repens

Spiranthes sinensis

Spiranthes sinensis

Plantanthera

Plantanthera

Plantanthera

Plantanthera

Orchis morio

Orchis morio

Dactylorhiza

Dactylorhiza

Dactylorhiza

Dactylorhiza

Cattleya tenuis

Cattleya tenuis

Cattleya jenmanii

Cattleya jenmanii

Cattleya aclandiae

Cattleya aclandiae

-

-

-

Click on a thumbnail to view a larger image

Previous  |   Next   

Return to Top