Orchid Mycorrhizas: Root–Fungal Associations

Introduction | Table of Contents | Glossary | Help 

Hosts | Fungi | Protocorm Development | Root–Fungal Associations | Main Menu 

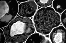
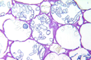
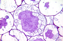
Many terrestrial orchid species remain below ground for more than one season or, in some cases, throughout their vegetative life cycle. Consequently, they depend on their fungal partner to supply carbohydrates for growth. Eventually, in chlorophyllous orchids, leaves emerge above ground, and these are able to synthesize their own sugars. As roots elongate into the soil, they are colonized by symbiotic fungi, and cortical cells develop hyphal complexes (pelotons). Fungal hyphae apparently do not pass from the protocorm into the developing roots. Instead, roots are colonized de novo from fungal propagules in the soil. More than one fungal species may invade the same root to form mycorrhizas.


Colonization of orchid root cells by mycorrhizal fungal hyphae has been poorly studied, but apparently fungi may enter directly through epidermal cells or root hairs. In orchid roots with an exodermis consisting of short and long cells, hyphae enter through the short cells to gain access to the remainder of the cortex. Aerial roots of epiphytic orchids have a multi-layered epidermis (the velamen) that can become colonized by a variety of organisms. These roots also have an exodermis consisting of short and long cells; mycorrhizal fungal hyphae access the cortex by passing through the short cells.


As in protocorms, pelotons are degraded and isolated from the host cytoplasm, following which a cortical cell can be reinvaded by the fungus. Field-collected roots that appear white are usually filled with starch, and colonization levels of mycorrhizal fungi are often low. Older roots that appear dark in colour, owing to the accumulation of phenolics in epidermal cells, are usually heavily colonized by mycorrhizal fungi.

Phalaenopsis sp.

Phalaenopsis sp.

Cypripedium reginae

Cypripedium reginae

Cypripedium reginae

Cypripedium reginae

Cypripedium reginae

Cypripedium reginae

Cypripedium reginae

Cypripedium reginae

Cypripedium arietinum

Cypripedium arietinum

Cypripedium reginae

Cypripedium reginae

Cypripedium sp.

Cypripedium sp.

Paphiopedilum

Paphiopedilum

Phragmipedium

Phragmipedium

Phragmipedium

Phragmipedium

Paphiopedilum

Paphiopedilum

-

-

-

Click on a thumbnail to view a larger image

Previous  |   Next   

Return to Top