AM: Colonization

Introduction | Table of Contents | Glossary | Help 

Hosts: ( Angiosperms - Gymnosperms - Seedless Vascular Plants )   | Fungi | External Hyphae | Colonization | Main Menu 


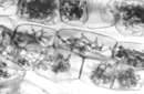
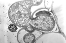
Colonization: All arbuscular mycorrhizal fungal species are obligate biotrophs, depending entirely on host plants for carbon compounds. The formation of arbuscular mycorrhizas involves a series of steps from recognition of the root surface by the fungus, the formation of an appressorium, epidermal cell penetration, intraradical hyphal and arbuscular development, and in some cases the formation of vesicles.


In the Arum-type arbuscular mycorrhiza, a hypha that penetrates the epidermis generally forms a coil, either in an epidermal cell or first cortical cell layer, before it enters the intercellular space system of the cortex. In this type, roots can become rapidly colonized along the root axis, owing to the free movement of hyphae in the intercellular spaces. Branches from intercellular hyphae breach the cell wall of cortical cells and branch repeatedly to form arbuscules. Intercellular or intracellular vesicles may form.


In the Paris-type arbuscular mycorrhiza, the intraradical hyphae pass from cell to cell, forming complex coils in both epidermal and cortical cells. Small hyphal branches develop from some of these coils to form arbuscules (sometimes called arbusculate coils). Vesicles may develop as well.


Diagrams

Diagram

Diagram

Arum-type

Arum-type

Paris-type

Paris-type

-

-

Early Stages

Glomus versiforme

Glomus versiforme

Glomus sp.

Glomus sp.

Glomus sp.

Glomus sp.

Asparagus officinalis

Asparagus officinalis

Asparagus officinalis

Asparagus officinalis

Glomus intraradices

Glomus intraradices

Glomus versiforme

Glomus versiforme

Glomus versiforme

Glomus versiforme

Glomus versiforme

Glomus versiforme

Glomus versiforme

Glomus versiforme

Glomus versiforme

Glomus versiforme

Glomus versiforme

Glomus versiforme

Glomus versiforme

Glomus versiforme

-

-

Arbuscules: Paris-Type

Glomus intraradices

Glomus intraradices

Glomus intraradices

Glomus intraradices

Glomus intraradices

Glomus intraradices

Trillium grandiflorum

Trillium grandiflorum

Trillium grandiflorum

Trillium grandiflorum

Trillium grandiflorum

Trillium grandiflorum

Trillium grandiflorum

Trillium grandiflorum

-

-

-

Arbuscules: Arum-Type

Glomus mosseae

Glomus mosseae

Glomus mosseae

Glomus mosseae

Glomus mosseae

Glomus mosseae

Glomus mosseae

Glomus mosseae

Glomus aggregatum

Glomus aggregatum

Glomus intraradices

Glomus intraradices

Glomus intraradices

Glomus intraradices

Glomus intraradices

Glomus intraradices

-

-

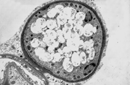
Vesicles

Glomus versiforme

Glomus versiforme

Glomus versiforme

Glomus versiforme

Glomus intraradices

Glomus intraradices

Glomus sp.

Glomus sp.

-

Click on a thumbnail to view a larger image

Previous  |   Next   

Return to Top